
Шинування зубів — це стоматологічна процедура, при якій встановлюється спеціальна конструкція, яка фіксує зуби. Завдяки цьому знижується навантаження на кожен з них.
Перерахуємо найбільш поширені показання до шинування зубів:
Розглядаючи, що таке шинування зубів, важливо відзначити, що воно не є самостійним лікуванням і є частиною комплексної терапії. Спочатку лікар визначає причину проблеми та її усуває, і лише потім фіксує зуби.
Під кожного пацієнта підбираються свої види шинування зубів з урахуванням ступеня їхньої рухливості, причини проблеми та загальної клінічної ситуації.
Конструкції можуть бути тимчасовими та довготривалими:
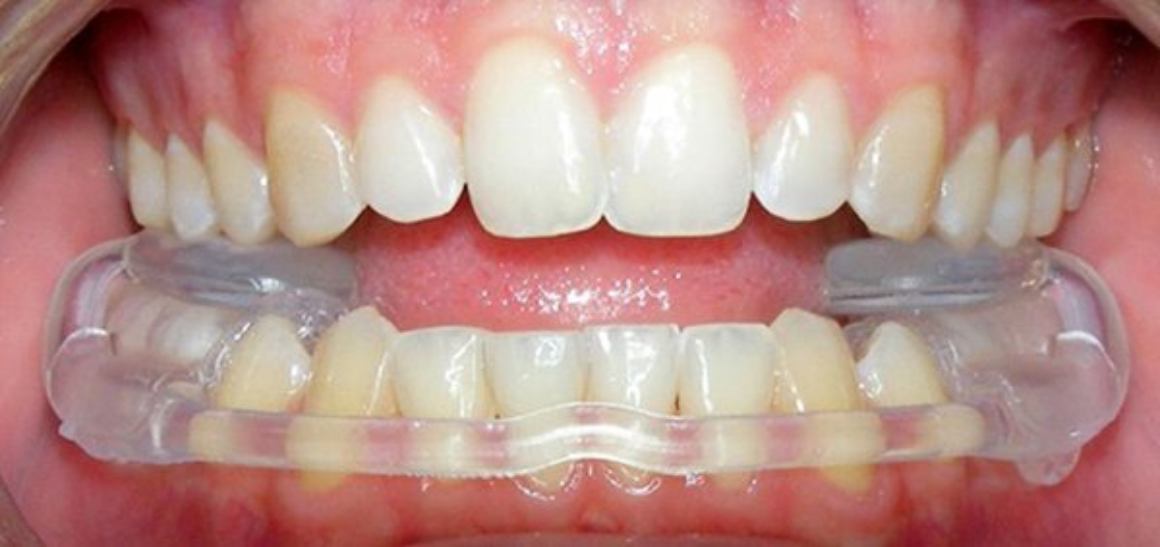
Існує не тільки тимчасове чи довготривале шинування зубів — види можуть відрізнятися і за типом носіння конструкції. Найбільш поширений варіант — незнімна конструкція, що фіксується на внутрішній поверхні зубів і практично непомітна при усмішці. Знімне шинування проводиться значно рідше і зазвичай його застосовують в ортопедичних чи травматологічних випадках.

Методи шинування зубів відрізняються за технологією виконання, використовуваним матеріалами та клінічними показаннями:

Шинування зубів після брекетів проводиться для стабілізації положення зубів та запобігання їх повторному зміщенню після ортодонтичного лікування.
Шинування зубів при пародонтиті застосовується для зменшення їх рухливості та розподілу навантаження при запальних захворюваннях тканин пародонту.
Шинування зубів при пародонтозі допомагає зміцнити зуби при дистрофічних змінах кісткової тканини та уповільнити прогресування хвороби.
Шинування зубів при переломі щелепи є частиною комплексної травматологічної допомоги для фіксації зубних рядів та стабілізації щелепи.
Шинування передніх нижніх зубів найчастіше проводиться в зоні підвищеної рухливості, оскільки передні нижні зуби найбільш вразливі при захворюваннях пародонту.
Фахівці нашої клініки проводять шинування лише після діагностики. Лікар оцінює ступінь рухливості зубів, стан ясен та кісткової тканини. Якщо причиною є запалення, спочатку лікується пародонт.
Щоб розробити оптимальний для пацієнта метод лікування, стоматолог розповідає, як відбуватиметься шинування зубів, плюси та мінуси обраного методу, який потрібний догляд за ротовою порожниною в період лікування.
Перед встановленням шини потрібно зробити професійне чищення. Потім на внутрішню поверхню зубів фіксується скловолоконна або армована нитка з використанням сучасного композитного матеріалу.

Якщо ви маєте намір зробити шинування зубів, ціна в Києві залежатиме від обраного методу фіксації, кількості задіяних зубів, ступеня їхньої рухливості та необхідності попереднього лікування. Точну ціну можна визначити лише після консультації та діагностики.
Шинування зубів при переломі нижньої щелепи фіксує зубні ряди, стабілізує положення щелепи та допомагає кістковій тканині правильно зростатися.
Вартість залежить від кількості зубів та обраного методу фіксації. Якщо вас цікавить шинування зубів після брекетів, про ціну лікування в Май Смайл можна дізнатися після консультації з нашим стоматологом.
Термін служби конструкції може становити кілька років і залежить від матеріалу, гігієни та стану тканин пародонту.
Процедура проводиться безболісно і, за потреби, під місцевою анестезією.
Після короткого періоду адаптації більшість пацієнтів не відчувають дискомфорту.