
Чтобы лучше понимать, как лечить кариес, следует коротко проговорить процесс его образования. С пищей или, например, через поцелуи в нашу полость рта попадают бактерии, выделяющие кислоты. Эти кислоты постепенно растворяют минералы эмали. Со временем они проникают в дентин, и зуб становится более уязвим к механическим раздражителям или температуре. Если проблему игнорировать, бактерии проникают в дентин, а затем в нерв. Так возникают осложнения в виде пульпита, периодонтита или потери зуба.
В свою очередь, есть немало факторов, ускоряющих развитие кариеса:
Таким образом, в домашних условиях можно практиковать только методы, как предотвратить кариес. Лечение же осуществляется только в клинике, ведь зубные пасты сокращают количество бактерий, не устраняя сам дефект. Ни одно народное средство также не восстановит разрушенную эмаль.
Мы коротко рассмотрели, что такое кариес и как его лечить. Теперь остановимся на том, какие современные методы помогут остановить разрушение зуба без осложнений и боли.
В этом случае сложность состоит только в том, как выявить проблему. На ранних стадиях кариес дает о себе знать лишь небольшим прозрачным или белым пятном на эмали. Также может появиться чувствительность к холодному или сладкому. Но есть хорошая новость: в этом случае проблема разрешается быстро и обычно без сверления.
Какие современные методы лечения и профилактики кариеса зубов применяются в My Smile на ранних стадиях:
Теперь рассмотрим, как лечат кариес в более серьезных случаях.

При средних или глубоких стадиях кариеса ткани разрушаются больше. Соответственно, обычной реминерализации будет недостаточно. Поэтому если вы интересуетесь, как вылечить кариес с серьезными повреждениями, следует готовиться к полноценному стоматологическому вмешательству.
Если кариес еще находится на уровне дентина и не коснулся пульпы (нервно-сосудистого пучка зуба), производится пломбирование. В Май Смайл в Ирпене стоматолог осторожно удаляет кариозную эмаль и дентин бормашиной, оставляя здоровые ткани. Далее дезинфицирует полость зуба и заполняет композитным материалом. Утвердив его специальной лампой, врач подгоняет пломбу под форму зуба, а затем ее шлифует и полирует.
Если кариес повредил пульпу, проводится лечение каналов. В этом случае нерв удаляется, а каналы тщательно прочищаются и обрабатываются антисептиками. Затем врач устанавливает временную пломбу, а спустя некоторое время ставит постоянную или ортопедическую конструкцию.
В My Smile в Ирпене процедуры проводятся с использованием современных анестетиков. Поэтому даже сложное лечение не вызывает болевых ощущений.

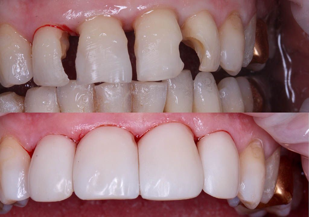
Если зуб сильно разрушен и пломба не может обеспечить нужной прочности, производится реставрация. Здесь также могут применяться разные варианты:
В Май Смайл в Ирпене стоматологи не просто применяют современные методы лечения и профилактики кариеса зубов, но и индивидуально подходят к решению проблем любой сложности: от предотвращения осложнений от кариеса у детей до реставрации передних зубов у взрослых.
Опасность кариеса для детей в том, что эмаль молочных зубов ослаблена. Соответственно, бактерии легче проникают в ткани. Эту особенность следует учитывать и в вопросе соблюдения правил гигиены, и при решении вопроса, как лечить кариес у детей.
Главное — не заниматься самолечением и обращаться к стоматологам вовремя. Еще лучше регулярно посещать специалиста, даже если визуально зубы выглядят здоровыми.
Итак, если у ребенка кариес, как лечить его без боли и рисков?
Чтобы определить, как лечить кариес молочных зубов, врач проводит осмотр и, при необходимости, диагностику. В My Smile это производится уже во время первой консультации. И осмотр, и лечение проходят в спокойной атмосфере. Врачи нашей клиники в Ирпене учитывают психологические особенности и характер каждого ребенка.

Мы лечим кариес по самым современным протоколам. Без страха. Без боли. Без рисков. Главная цель специалистов My Smile — не просто решить, как избавиться от кариеса, а надолго сохранить здоровье зубов. Поэтому мы консультируем, учитывая потребности и волнения пациентов, заботимся об их комфорте и общем самочувствии.
Записывайтесь на прием к нашим специалистам и получайте квалифицированную помощь быстро, качественно и по доступной цене.
Если кариес на ранних стадиях, достаточно одного визита. Если поражение глубокое, лечение проходит в два-три этапа.
Зависит от сложности и метода лечения. Май Смайл в Ирпене предлагает антикризисные цены в Украине и подбор оптимального решения в соответствии с ситуацией и бюджетом.
Да, если кариес не запущен и повреждена только эмаль.
В My Smile в Ирпене применяются максимально деликатные методики, которые не пугают малышей. Если стадия начальная, мы покрываем поверхность зуба минеральными препаратами, чтобы не допустить осложнений.
Эта процедура проводится под местным обезболиванием, поэтому пациент не испытывает боли.