
Эрозия эмали — это постепенное разрушение наружного слоя зуба под воздействием кислот. Если при кариесе ткани разрушаются из-за действия бактерий, то эрозия зубной эмали развивается из-за химического воздействия веществ из пищи, напитков или желудочного сока.
На ранних стадиях этот процесс почти незаметен. Однако со временем появляются характерные признаки:
Причина этих симптомов — кислоты, которые разрушают зубы извне или изнутри. Причем факторы не всегда очевидны:
Если не проводить лечение эрозии зубной эмали, увеличивается риск возникновения кариеса, повышенной хрупкости зубов и эстетических изменений. Поэтому при первых признаках проблемы не откладывайте визит к стоматологу.
Если эмаль зуба повреждена, она самостоятельно восстановиться не сможет. Но лечение эрозии зубной эмали поможет остановить процесс разрушения тканей и минимизировать последствия. Что имеется в виду:

Если у пациента обнаружена эрозия эмали, то лечение и ликвидация проблемы предполагает комплексный подход. И очень важно обращаться в профессиональную клинику и получать помощь опытных специалистов.

Для лечения проблем такого характера врачи применяют индивидуальный подход. Посредством осмотра и диагностики они оценивают степень поражения, а затем разрабатывают персональный план лечения. И диагностику, и терапевтические процедуры мы выполняем на высокоточном и современном оборудовании.
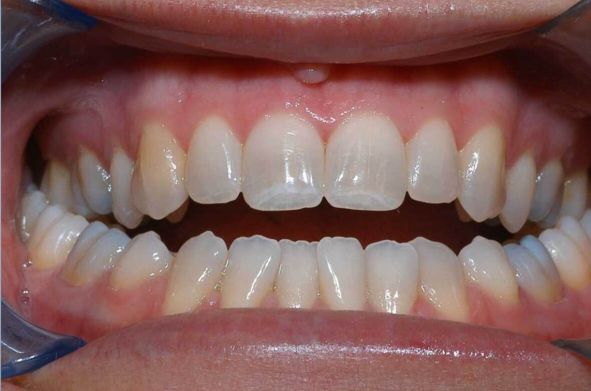
Эрозия эмали зубов в Май Смайле лечится безопасно, качественно и в комфортной для пациента обстановке. При заметных повреждениях мы используем композитные реставрации или керамические материалы для восстановления природной формы и цвета зубов.

После проведенных манипуляций пациент получает профессиональные советы по питанию, гигиене и образу жизни, чтобы предотвратить появление новых повреждений и сохранить результат лечения.
В вашем случае врач только после диагностики сможет сказать, как устранить эрозию эмали зубов. Сочетание этих проблем требует комплексного подхода.
Ни фтор, ни кальций не устраняют имеющиеся повреждения эмали. Они рекомендованы только как поддерживающая терапия после лечения.
Эпизодическое употребление газированных напитков оказывает минимальное влияние, но регулярное или частое потребление повышает риск возникновения эрозии.
Реминерализация и защитные покрытия дают заметный эффект через несколько процедур.
Да, но только после того, как эмаль будет упрочнена и стабилизирована. Отбеливание ослабленной эмали может усугубить ее состояние.