
Гипоплазия эмали у детей развивается при формировании зуба, если его внешний слой не до конца минерализуется или формируется неравномерно. Причины проблемы могут быть местными или системными.
Очаговая гипоплазия эмали у детей обычно связана с общими воздействиями на организм:
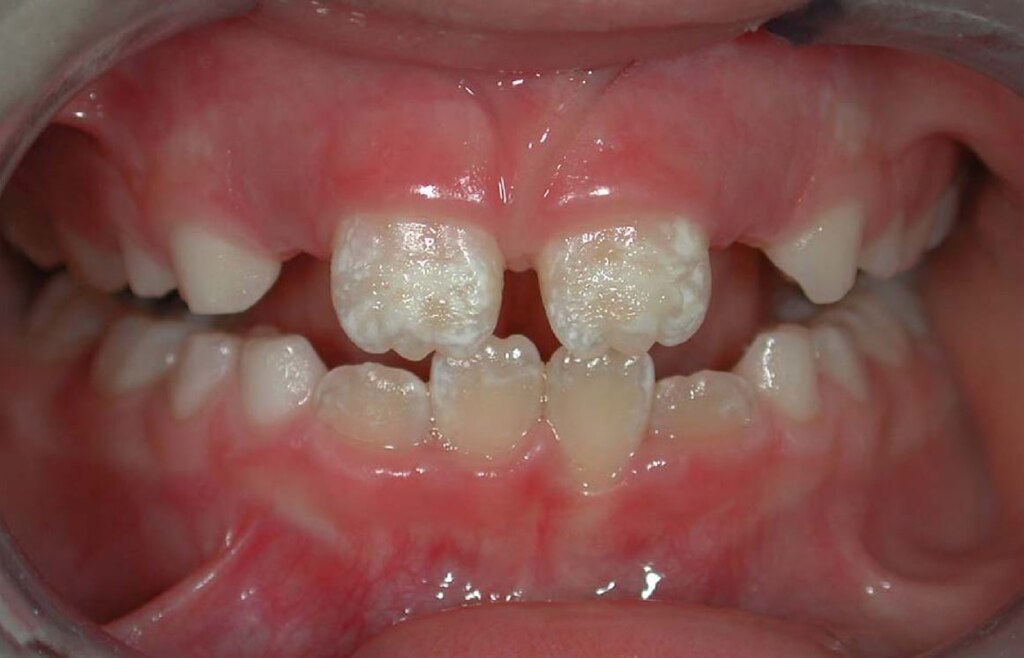
Характерной особенностью такого состояния является поражение эмали на нескольких зубах. Дефекты могут возникать симметрично и затрагивать большую часть поверхности зуба.
Местная гипоплазия эмали у детей возникает из-за факторов, влияющих непосредственно на определенный зуб или группу зубов. Что в таком случае может спровоцировать проблему:
В таких случаях дефект имеется только на одном зубе или даже на его отдельном участке.
Гипоплазия эмали у детей предполагает стабильный дефект эмали, появившийся при ее формировании. Как мы уже говорили, она обычно проявляется пятнами, шероховатостью, бороздками на зубах или изменением оттенка.

Другие заболевания, такие как кариес или пятна после травм, обычно носят локальный характер и симптомы быстро прогрессируют. Часто присутствует боль или неприятный запах.
Но стоит отметить: мы перечислили общие отличия в симптомах. Чтобы точно установить диагноз, следует обратиться к стоматологу и пройти диагностику.

В таком состоянии зубы становятся более уязвимыми к заболеваниям и механическим повреждениям. На пораженных участках эмаль тонкая или пористая, поэтому даже небольшое давление или кислые продукты могут вызвать разрушение. Кроме того, такие зубы часто повышенно чувствительны к холодному, горячему или сладкому, что может осложнять прием пищи и вызывать дискомфорт.
Если обнаружена гипоплазия эмали у детей, лечение под наблюдением специалиста — это единственное правильное решение, чтобы не допустить осложнений.
Диагностика гипоплазии эмали всегда начинается с осмотра. Стоматолог смотрит на цвет зубов, структуру эмали, характер дефектов. При необходимости в Май Смайл используются дополнительные методы обследования, которые позволяют исключить кариес или заболевания другого характера.
Если подтверждена гипоплазия эмали у детей, лечение будет зависеть от степени поражения зуба и возраста ребенка. Если случай легок, мы применяем реминерализующие процедуры, которые укрепляют эмаль и снижают чувствительность зубов. При серьезных и выраженных дефектах мы выполняем процедуры, которые помогут предотвратить дальнейшее разрушение зуба. Это либо специальные защитные покрытия, либо герметизация, либо эстетическая коррекция.

Лечение гипоплазии эмали у My Smile всегда проводится деликатно и поэтапно. Мы заботимся о психологическом комфорте ребенка и делаем процедуры в спокойной, доверчивой атмосфере.
Устранив дефекты, наши детские стоматологи объясняют родителям, как правильно ухаживать за зубами дома и как предотвратить осложнения в будущем.
Нет, гипоплазия формируется еще на этапе развития зуба. Если изменения на эмали появились внезапно, врач исследует другие причины типа кариеса, травм, последствий воспаления.
Нет, дефект эмали не исчезает с возрастом. Но при регулярном наблюдении стоматолога и правильном уходе можно предотвратить осложнения и сохранить зубы здоровыми.
Врач может посоветовать ограничить кислые продукты и сладости, которые повышают риск повреждения ослабленной эмали.
График осмотров определяет врач индивидуально. Детям с гипоплазией рекомендованы более частые профилактические визиты, чем пациентам без нее.
Генетический фактор проявляется редко. Чаще гипоплазия связана с условиями развития зубов, а не напрямую с наследственностью.