
Остеомиелит — это серьезный гнойно-воспалительный процесс. Он поражает не только зуб, как при пульпите, но также кость и окружающие ткани, затрагивая опорные структуры зубного ряда.
Остеомиелит может протекать в двух формах:
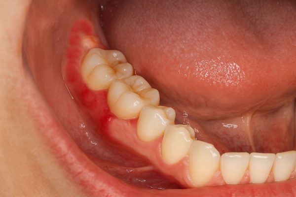
Подробно демонстрируют, что такое остеомиелит челюсти, фото. На них видно воспаленные и измененные ткани вокруг зуба, пораженный участок теряет свою привычную структуру. Но когда речь идет про остеомиелит, фото и визуальный осмотр не всегда может передать масштаб поражения. Поэтому такие случаи относят к опасным патологиям.
Возникнуть без причины эта проблема не может. Ей всегда предшествуют стоматологические или общие заболевания:
В первом случае инфекция проходит через пульпу, корень зуба и затем попадает в костную ткань. При травмах или открытых ранах микробам проще проникнуть внутрь. Риск осложнений также повышается, если у пациента есть хронические заболевания и организм ослаблен.

Остеомиелит челюсти развивается в несколько этапов:
И острый, и хронический остеомиелит считается заболеванием, опасным для жизни. Поэтому действовать нужно быстро и профессионально.

Если заболевание имеет острую форму, признаки более ярко выражены:
Если у пациента хронический остеомиелит, симптомы не так выражены. Но это не означает, что воспалительный процесс не идет. Может присутствовать боль или дискомфорт в челюсти, либо свищи, которые долго не заживают. Часто остеомиелит обостряется в периоды стресса или когда иммунитет ослаблен.
Не смотря на выраженность симптомов, одного осмотра, чтобы установить диагноз, недостаточно. В Май Смайл в Ирпене стоматологи проводят тщательную диагностику:
Когда есть подозрения на остеомиелит, диагностика — важнейший этап лечения. Она помогает стоматологам точно выявить недуг и не спутать его с другими стоматологическими или ЛОР-заболеваниями. Поэтому в Украине ее стоит делать в проверенных клиниках с современным оборудованием.
Если есть подозрение на остеомиелит, необходимо обращаться к стоматологу-хирургу. Этот врач поможет остановить процесс воспаления и удалить источник инфекции.
В My Smile в Ирпене лечение происходит в несколько этапов:
Если подтвержден диагноз остеомиелит, лечение может занимать несколько недель. В запущенных случаях необходимо стационарное наблюдение. Если заболевание имеет хроническую форму, процесс лечения будет дольше. В любом случае, восстановительный период во многом зависит от объема поражения.

Чтобы решить проблему такого характера, нужно и привлечение опытного специалиста, и хорошая техническая база. В My Smile в Ирпене пациенты получают оба преимущества. Наша клиника предлагает:
В Май Смайл в Ирпене лечение проводится профессионально, эффективно и без боли.
Не всегда. Если стадия ранняя и процесс не зашел далеко, помогают медикаменты и физиотерапия. Но их назначает врач и только после диагностики.
Да. Симптомы остеомиелита схожи с кистой, абсцессом или воспалением десны, поэтому необходима качественная диагностика.
Да, без лечения воспаление может перейти на соседние ткани и вызвать заражение крови.
Да, у детей кости более пористые и уязвимые к осложнениям. В My Smile есть детские стоматологи, к которым можно обратиться за консультацией и лечением.
Да, кость полностью восстанавливается, а функциональность челюсти возвращается.